3 3/3

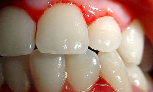
Krvarenje desni

Prepoznajte ih: Signali koje nam šalje naše tijelo
Prepoznajte ih: Signali koje nam šalje naše tijelo

Desni koje krvare, svojim problemom nam poručuju da organizmu nedostaje vitamina C. Agrumi, luk, paprike, kvalitetni su izvori tog nedostajućeg elementa.

Komentari (0)

Još nije napisan ni jedan komentar! Budite prvi koji će ostaviti komentar?!

Ostalo još 1500 karaktera

NAPOMENA: Komentari odražavaju stavove njihovih autora/ica, a ne nužno i stavove portala Body.ba te portal ne može i neće odgovarati za sadržaj tih kometara. Komentari koji sadrže vrijeđanja, psovanja i vulgaran riječnik mogu biti uklonjeni bez najave i objašnjenja, ali to ne obavezuje Body.ba da obriše sve komentare koji krše pravila. Čitanjem prihvatate mogućnost da među komentarima mogu biti pronađeni sadržaji koji mogu biti u suprotnosti sa vašim uvjerenjima.

Podijeli članak