3 3/6

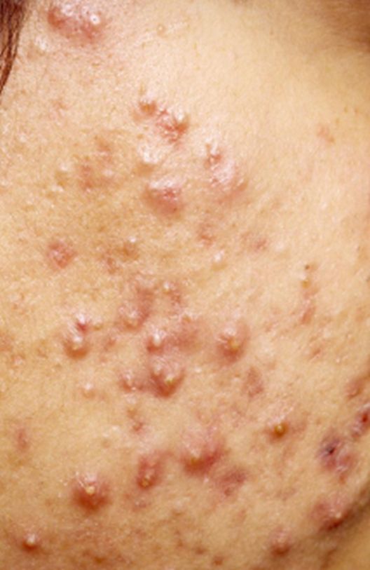
Bubuljice

Od mitisera do čvorova i akni, 6 različitih pojava
Od mitisera do čvorova i akni, 6 različitih pojava

Bubuljice su jako slične bijelim mitiserima. Unutar njih se može vidjeti gnoj, ali su tehnički različite.

Bijeli mitiseri su začepljenje, dok je pustula ili bubuljica jako upaljena i puna gnoja.

Ako se ne možete oduprijeti želji da je iscijedite, stavite toplu oblogu sve nečistoće uklonite te na kraju pokrijte da nakon toga ne bi zarazili opet. 

Komentari (0)

Još nije napisan ni jedan komentar! Budite prvi koji će ostaviti komentar?!

Ostalo još 1500 karaktera

NAPOMENA: Komentari odražavaju stavove njihovih autora/ica, a ne nužno i stavove portala Body.ba te portal ne može i neće odgovarati za sadržaj tih kometara. Komentari koji sadrže vrijeđanja, psovanja i vulgaran riječnik mogu biti uklonjeni bez najave i objašnjenja, ali to ne obavezuje Body.ba da obriše sve komentare koji krše pravila. Čitanjem prihvatate mogućnost da među komentarima mogu biti pronađeni sadržaji koji mogu biti u suprotnosti sa vašim uvjerenjima.

Podijeli članak